42歳の男性です。
この方は1年前から左頬にしこりを自覚していました。
最近、しこりが大きくなり、嫌なにおいが鼻につくということで来院されています。
左頬に大きさ3センチの発赤を伴う皮下腫瘍があり(術前写真)、
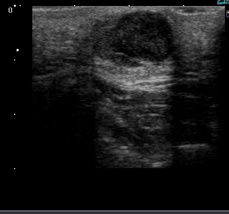
超音波検査では内部が低エコーで後方エコーが増強、腫瘍に血管の進入はありません(超音波検査)。
術前診断は粉瘤であり、皮膚切開すると、粉瘤が被膜ごと出てきました(術中の写真)。
術後診断も粉瘤で、腫瘍の遺残がないことを確認して、傷は湿潤療法で治療しました。
術後1週目、2週目の状態ではきれいに治っています。
手術前
超音波検査
粉瘤手術中
手術直後
術後1週間
術後2週間





