71歳の男性の症例です。
1年前に後頚部にしこりを自覚され、数日で増大し、痛みを伴う炎症性腫瘤となりました。近医を受診されたところ、切除不能と診断され、抗菌剤による治療を受けられていました。しかし、治療に抵抗性で疼痛が増したため、当院を受診されました。
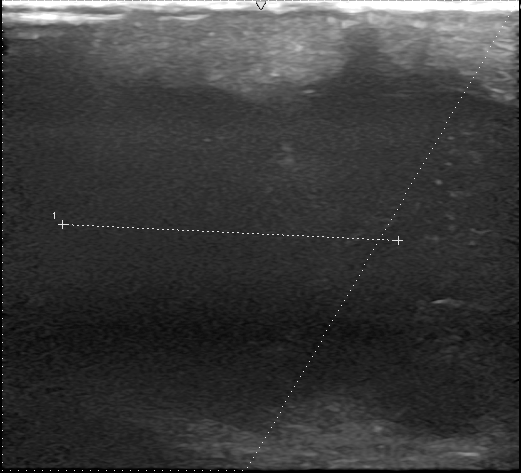
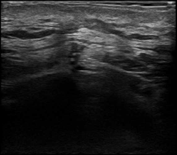
診察時、後頚部に直径80mmの発赤を伴うしこりがあり、超音波検査により典型的な感染性粉瘤と診断されました。一部、僧帽筋筋膜にも炎症が波及していました。採血で糖尿病も認められたため、糖尿病の治療と並行して粉瘤の治療を行う方針となりました。
小切開による切除手術を行い、半年後の再診時には5mmの再発が認められたため、追加切除を行いました。肉眼的には完全切除されていましたが、その半年後の再検査で再び再発が認められたため、再度追加切除を実施しました。病理検査の結果、粉瘤であり悪性腫瘍ではないことが確認されました。
初回手術から1年半後の確認では再発はなく、傷跡もきれいに治癒している状態でした。
初回手術術前

初回手術術中

2024術直後

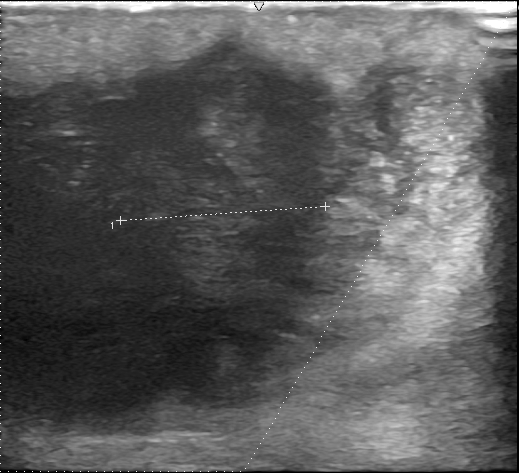
初回の再発

初回の再発を肉眼的には完全摘出

2回目の再発術前

3回目の術後半年後 再発なし














