56歳の男性で左肩の巨大な粉瘤で受診されています。
この患者様は、20年前に他院で左肩の粉瘤を切除されました。その後すぐに同じ部位が大きくなりましたが、痛みはなかったため、そのままにされていました。
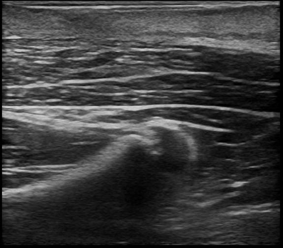
徐々に皮下腫瘍が大きくなったため、当院を受診されました。左肩に120mm大の巨大な皮下腫瘍があり、超音波検査の結果、典型的な粉瘤と診断されました。
超音波ガイド下で局所麻酔薬を使用し、粉瘤の被膜を剥がした後、小さな切開で角質を排出し、被膜を完全に切除しました。巨大な粉瘤を除去したため、皮下に空間が生じましたが、浸出液がたまらないように2日間ドレーンを挿入しました。
術後半年後には、わずかな変形は認められるものの、傷跡は目立たず、超音波検査で再発がないことを確認し、治療を終了しました。
術前

術中①切開で角質を排出

術中 ②被膜を完全に切除

術中③摘出された被膜

術中④

術後1日目

術後1週間

術後2週間①

術後2週間②

術後半年後 ①

術後半年後 ②











