「背中にできた大きなしこりが、1週間前から徐々に痛みを増し、赤く腫れてきた」とのお悩みでご来院された患者様の症例です。
■ 診断時の状態
診察の結果、赤み(発赤)を伴い、直径60mm(6cm)ほどの硬いしこり(硬結)として触れる感染性粉瘤と診断しました。
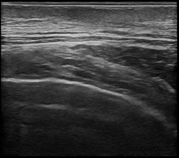
超音波検査では、粉瘤に特徴的な所見が確認され、炎症が強い状態であることが分かりました。
■ 治療
傷跡が目立たないように配慮し、炎症を起こしている粉瘤に対し、わずか10mmの小さな切開で手術を行いました。
まず、小さな穴から粉瘤内部に溜まっていた老廃物(角質)を排出し、その後、再発の原因となる「袋状の被膜」を丁寧にすべて取り除きました(一括切除)。
■ 術後の経過
術後の経過は良好で、半年後の検診(超音波検査)では、再発の兆候は見られず、傷跡もほとんど目立たない状態まで回復されました。
術前

術前超音波検査

術中、小切開で角質を除去

術直後

術直後の超音波検査で被膜の残存がないことを確認

術後25日

術後半年

術後半年後の超音波検査






