53歳の女性です。
数年前から頭部に徐々に増大する皮下腫瘍を自覚していました。
親指大の皮下腫瘍が後頭部にあります。
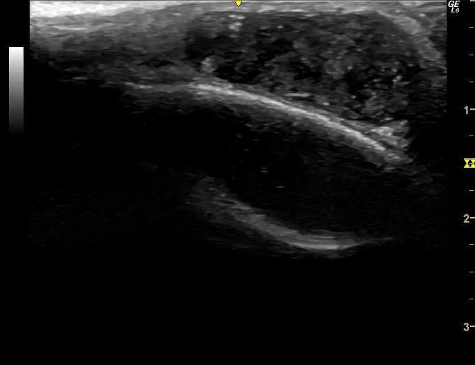
超音波検査では内部エコーが均一で被膜がはっきりした腫瘍が指摘できます。
頭蓋骨が真下にあるため、後方エコー増強ははっきりしませんが、正常の組織と比べてわずかに増強しているようでした。
頭部にできた粉瘤と診断しました。
超音波併用局所麻酔で破膜を剥離して、4ミリのデルマパンチによるくり抜き法を行いました。角質を排出したのち、被膜が一括で完全にとれました。
術後2週間で完全に治癒しました。剃毛も行わなかったため、禿もできず、美容的にも良好でした。
術前
超音波検査
術中1
術中2
術直後1
術直後2
摘出標本
術後1日目
術後14日目





