28歳男性です。
1年前から右頬にしこりを感じていました。
徐々に増大するため、来院されています。
右頬に母指頭大の皮下腫瘍を認めています。(術前)
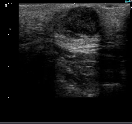
超音波検査では内部がエコーで後方エコーが増強しています。腫瘍近傍に血管も走行していません。(超音波検査)
切開すると粉瘤が流出しました。(術中)
嚢胞壁を完全に切除して縫合し(術直後)、術後1週目で抜糸(術後1週)、術後2週目にはほとんど傷もわからなくなっています(術後2週目)。
術前
超音波検査
治療中
手術直後
術後1週間
術後2週間





